Tejidos animales...
En el cuerpo de los animales se encuentran 4 tejidos:
* Tejido epitelial.
* Tejido conjuntivo (conectivo).
* Tejido nervioso.
* Tejido muscular.
Tejido epitelial: Presenta células muy juntas, con escasa sustancia intercelular.
Funciones principales:
- Revestimiento y protección.
- Secreción.
Tejido conjuntivo (conectivo): Las células se disponen separadas, con abundante sustancia intercelular, en la cual hay fibras.
Funciones principales:
* Conexión.
* Sostén.
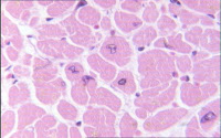
Tejido muscular: Especializado en la contracción que permite los movimientos.
Sus células son alargadas, con estructuras especializadas en su citoplasma, denominadas miofibrillas.
Tejido nervioso: Especializado en la conducción de impulsos nerviosos.
Sus células presentan diferenciaciones citoplasmáticas que se llaman neurofibrillas.
Sus células principales son las neuronas.
Los impulsos nerviosos permiten la recepción de estímulos y la respuesta a los mismos.
Tejidos vegetales...
Los tejidos vegetales pueden clasificarse de la siguente forma:
- Tejido embrionario - meristemos.
- Tejidos definitivos.
* De revestimiento - epidermis y súber.
* De elaboración - parénquimas.
* De conducción - xilema y floema.
* De sostén - colénquima y esclerénquima.
Meristemo: Sus células se dividen activamente. Permite el crecimiento.
Epidermis: Tejido de revestimiento. Sus células se disponen juntas, pueden tener una capa externa protectora, con ceras, por ejemplo.
Suber: Las células tienen pared engrosada con una sustancia llamada "suberina".
Parénquima:
* Parénquima clorofílico: Tejido de elaboración, se caracteriza porque sus células presentan los organelos encargados de la fotosíntesis.
Xilema: Se encarga de la conducción de la savia bruta, hacia las hojas.
Floema: Realiza la conducción de la savia elaborada.










No hay comentarios:
Publicar un comentario